Valencia Plaza

Investigadores demuestran que el ejercicio intenso 'descompacta' el corazón y toma forma esponjosa

Suscríbe al canal de whatsapp

Suscríbete al canal de Whatsapp

Siempre al día de las últimas noticias

Suscríbe nuestro newsletter

Suscríbete nuestro newsletter

Siempre al día de las últimas noticias

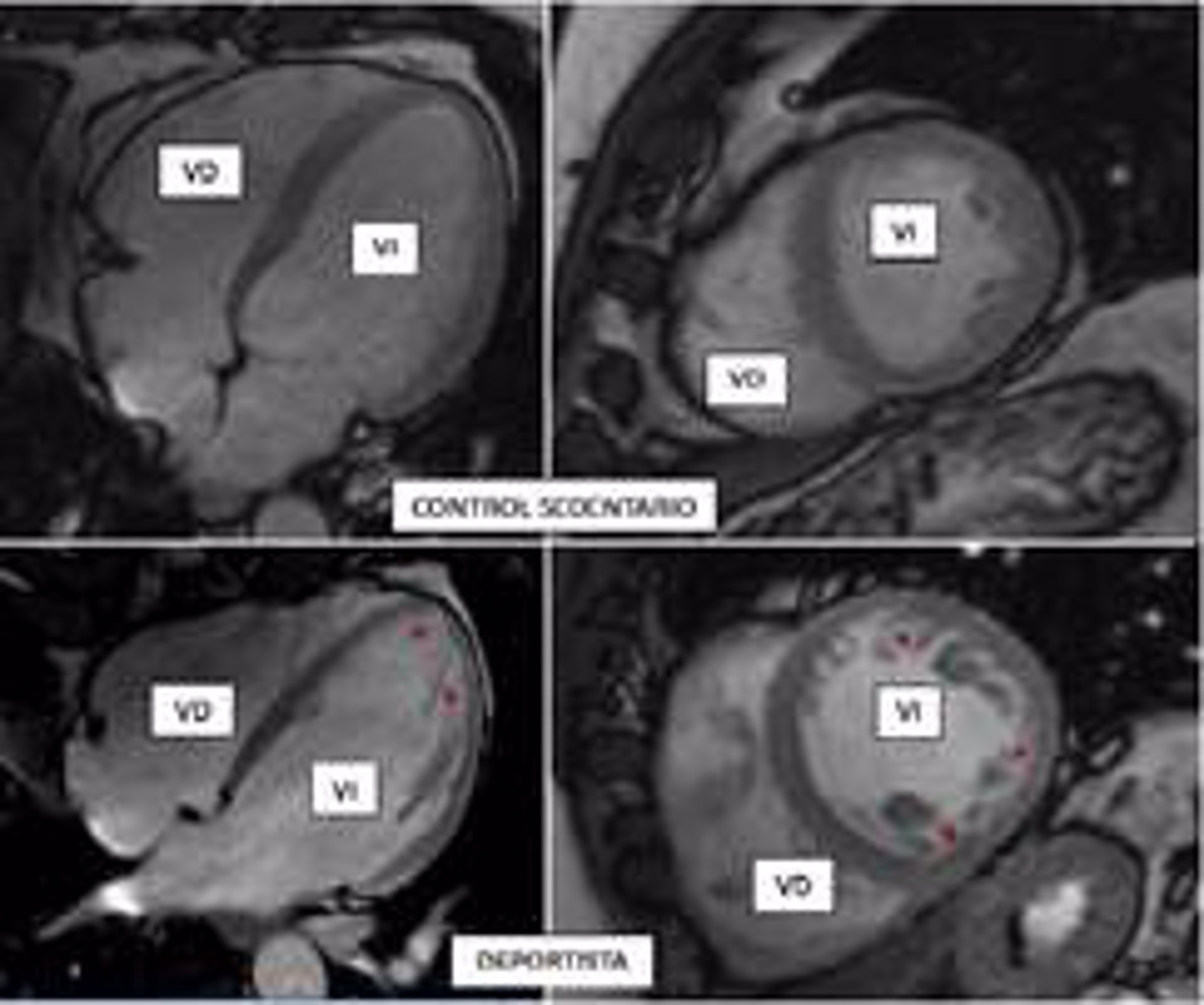
MURCIA (E.P.). Investigadores del Centro Nacional de Investigaciones Cardiovasculares (CNIC) han demostrado que el ejercicio físico vigoroso se asocia a una "descompactación" del corazón, que adopta una morfología esponjosa.

Estos científicos han cuantificado este fenómeno en una población general (no profesionales del deporte), una información que tiene unas implicaciones prácticas muy importantes, puesto que "el sobrediagnóstico de la miocardiopatía no compactada -la patología maligna- en los deportistas (de élite o amateurs) puede llevar a la decisión de recomendar la interrupción de la actividad física en algunos casos en los que no sería necesario", explica su director general, Valentín Fuster.

La práctica de ejercicio, intenso o moderado, es una de las recomendaciones de salud aceptadas por todos los expertos. Sin embargo, el entrenamiento de alta intensidad puede desencadenar una serie de cambios fisiológicos en el organismo, incluyendo el corazón. Por ejemplo, se sabe que los deportistas presentan una adaptación de su corazón al entrenamiento que, entre otros fenómenos, puede incluir un aumento de las trabéculas en su interior ("hipertrabeculación"), que es benigna pero que puede confundirse con una patología genética hereditaria, la miocardiopatía no compactada, que puede causar muerte súbita.

Este nuevo estudio, publicado en la revista 'The Journal of American College of Cardiology', forma parte del proyecto colaborativo 'PESA-CNIC-SANTANDER', cuyo investigador principal es el doctor Valentín Fuster, que se inició en 2010 y que recientemente se ha renovado hasta 2030, y que constituye uno de los estudios de prevención cardiovascular más importantes del mundo. El grupo de 700 sujetos incluidos en el trabajo seguirá siendo evaluado durante este periodo, lo que permitirá estudiar en detalle y comprender la evolución, reversibilidad e implicación clínica de esta adaptación del corazón al ejercicio intenso.

"Resulta crítico poder distinguir este acomodo benigno al ejercicio de la miocardiopatía no compactada, una enfermedad del corazón de componente genético que puede asociarse a síntomas graves como insuficiencia cardíaca, trombo-embolias, arritmias y muerte súbita", destaca el jefe del Departamento de Investigación Clínica de CNIC, cardiólogo del Hospital Universitario Fundación Jiménez Díaz y líder de este trabajo, Borja Ibáñez.

En la miocardiopatía no compactada, las paredes del corazón se adelgazan y el músculo cardiaco, habitualmente compacto, se sustituye por una porción esponjosa (trabeculada), que se comunica directamente con el interior de los ventrículos.

El problema es que esta enfermedad se identifica, en muchos casos, en personas jóvenes asintomáticas antes de que aparezcan síntomas y, en esos casos, "una de las recomendaciones es interrumpir inmediatamente la actividad física ya que puede causar la muerte súbita", apunta este cardiólogo del CNIC. Sin embargo, la presencia de trabéculas no siempre va ligada a la miocardiopatía no compactada; así, asegura el doctor Ibáñez, "se ha observado que, ante diferentes condiciones fisiológicas, como el entrenamiento de alta intensidad o el embarazo, puede observarse un cambio en la morfología del corazón que es similar en estructura a la de la miocardiopatía no compactada".

Por ello, subraya el cardiólogo José de la Chica, primer autor del artículo, "es fundamental poder diferenciar entre la condición maligna y la adaptación fisiológica (benigna) para, por un lado, prevenir una mala evolución en el caso de la primera y, por otro, evitar que jóvenes sanos tengan que dejar de realizar deporte".

A pesar de que la asociación entre la hipertrabeculación y ejercicio físico de alta intensidad en deportistas de élite ya se había sugerido, hasta ahora muy pocos estudios habían utilizado la resonancia magnética cardiaca (técnica diagnóstica de referencia para estudiar la anatomía y función del corazón) y métodos objetivos para evaluar la actividad física. Además, tampoco existían datos suficientes sobre si dicha relación podría producirse también entre la población general o en deportistas aficionados, indica la doctora Inés García-Lunar, cardióloga participante en este estudio.

El trabajo ha evaluado mediante resonancia magnética cardiaca la presencia de criterios reconocidos de miocardiopatía no compactada en más de 700 participantes del estudio 'PESA-CNIC-SANTANDER', trabajadores sanos del Banco de Santander que realizan diferentes grados de actividad física, pero que no practican deporte de forma profesional.

La actividad física se evaluó de forma objetiva mediante el uso de acelerómetros, dispositivos que miden los cambios en la velocidad del movimiento en varios ejes del cuerpo y que los participantes llevaron durante 1 semana en cada visita de seguimiento trianual del estudio. "Esta tecnología nos permite clasificar la actividad física que realiza un individuo en situación sedentaria, de ejercicio leve, moderado o vigoroso y saber cuántos minutos dedica a la semana a cada tipo de actividad", apunta De la Chica.

Lo primero que se observó es que el músculo cardiaco de los participantes, que de forma persistente realizaron una actividad física vigorosa a lo largo de este periodo de tiempo, se adaptaba al ejercicio aumentando su volumen y su masa muscular. "Estos cambios son conocidos como 'corazón de atleta', y se consideran fisiológicos", explica García-Lunar.

Un hallazgo más novedoso fue que una tercera parte de los individuos (hombres y mujeres) con un nivel elevado de actividad física vigorosa habitual cumplía además los criterios diagnósticos de miocardiopatía no compactada, pero, obviamente, no estaban enfermos.

Estudios previos habían sugerido que la hipertrabeculación podría ser simplemente un fenómeno secundario a la dilatación del corazón que aparece durante el entrenamiento intenso. "Gracias a los datos del PESA-CNIC-SANTANDER, hemos observado por primera vez que se trata de fenómenos independientes", argumenta De la Chica.

Es importante recalcar también que los participantes con este tipo de corazones trabeculados no presentaban síntomas y que los resultados del resto de pruebas llevadas a cabo en el estudio se encontraban dentro de la normalidad.

El trabajo concluye que los criterios de resonancia magnética para diagnosticar la miocardiopatía no compactada no deberían ser evaluados de forma aislada sino puestos en el contexto de otros parámetros clínicos, pruebas genéticas y el nivel de ejercicio físico, incluso en una población no atlética para evitar los falsos diagnósticos de esta enfermedad maligna. Un diagnóstico equivocado podría conllevar que la persona tenga que dejar de realizar ejercicio con las consecuencias deletéreas físicas y psicológicas que ello conlleva.


Recibe toda la actualidad
Valencia Plaza

Recibe toda la actualidad de Valencia Plaza en tu correo

Un estudio apunta que un suplemento nutricional común podría mejorar la inmunoterapia contra el cáncer
Illa plantea a CCAA crear un grupo de trabajo para hacer una evaluación independiente en noviembre